Виды реабилитации для онкологических больных
Онкология – пожалуй, одно из самых серьезных заболеваний, поскольку у него один из самых высоких показателей и характеристик смертности.Излечиться от онкозаболевания возможно, особенно благодаря...
LPG-массаж как альтернатива липосакции
Омоложение и коррекция фигуры — основные направления эстетической деятельности SPA-салона «Манифик Плаза» в Нижнем Новгороде. Использование прогрессивного оборудования, новейшие методики — все это дает...
Польза натурального мыла
Если вы хотите почувствовать все плюсы мыла ручной работы, то вам достаточно просто посмотреть на него. Оригинальный, красивый вид таких изделий привлекает. Вы получите...
Правила выбора хорошего пансионата для пожилых людей
К сожалению, каждый человек сейчас предоставлен самому себе, ведь практически нет свободного времени, чтобы уделить его своим близким, своим родным, ведь работа стоит на...
Когда лучше устанавливать ВМС?
На сегодняшний день можно рассмотреть, как много на рынке средств контрацепции. Это барьерные средства, гормональные. Большой популярностью пользуется всм (внутри маточная спираль). Считается, что...
Самые популярные стоматологические услуги
Модные тренды и тенденции касаются не только правильного выбора одежда и стиля, но и также общего образа и в настоящее время здоровья. Одним из...
Сын-наркоман: что делать в первую очередь?
С такой проблемой, как наркомания, в настоящее время сталкивается все большее количество семей. В тот момент, когда родители узнают, что их сын-наркоман, переворачивает их...
Эфирные масла для лица: правила применения
Ежеминутно люди в мире познают что-то новое.Своими открытиями они зачастую делятся через Интернет. Там они размещают информацию в виде видео, а также текста. Нередко...
Пансионат для лежачих пожилых люде: как найти?
Уход за пожилым человеком дело не простое, с возрастом обостряются хронические заболевания, и появляются новые патологии, способные спровоцировать тяжелые состояния. Такие люди практически не...
Лучшие препараты для мезотерапии
В современном мире каждая девушка и женщина стремится к тому, чтобы продлить свою молодость, чтобы продлить свою привлекательность и обаяние, а появление небольших морщин...
Как получить справку о временной нетрудоспособности?
Временная нетрудоспособность может наступать при самых разных обстоятельствах. Это, могут быть, и различные виды заболеваний, полученная травма, отпуск по беременности и роды, а также...
Когда нужно идти к генетику?
Генетика – наука о наследственности, изменчивости и закономерностях развития живых организмов. Особое значение знания из этой области приобретают, когда речь заходит о планировании семьи...
Методы отбеливания зубов в стоматологии
Красиво – это не только про здоровые, но и про белые зубы. Хорошо, если у вас есть такая лучезарная улыбка. Однако если вы её...
Массажный лосьон Тэй-Фу: скорая помощь для мышц и суставов
Для того чтобы ничего, никогда не болело, нужно поддерживать тело в тонусе. От боли в мышцах и суставах никто не застрахован. В настоящее время...
Виды стоматологических услуг
Безусловно, каждый современный человек должен больше времени и внимания уделять тому, чтобы заботиться о своем здоровье, чтобы действительно иметь возможность получить квалифицированную помощь в...
Как подобрать женскую одежду: основные правила
В зависимости от того, какой вид спорта нам наиболее близок, следует выбирать одежду, которая лучше всего подходит. Помните одно - покупая одежду хорошего качества,...
Критерии идеального любовника: как определить
Как определить идеального любовника
Очень многие в этой жизни сталкиваются с такой проблемой, как неудовлетворенность своей второй половинкой. Причин данной проблемы можеть быть много, именно...
Имплантация зубов в современной стоматологии
В современных условиях жизни малое количество людей по-настоящему задумываются о том, чтобы заботиться о своем здоровье максимально полноценно и регулярно, поэтому действительно редко посещаются...
Применение фетального монитора
фетальные мониторы или кардиотокографы предназначены для эффективного диагностического исследования внутриутробного состояния плода. Оборудование отличается небольшими размерами, легкостью управления и возможностью наблюдать за плодом в...
Как происходит обучение на курсах массажа для начинающих?
Никогда не поздно обучаться чему-то новому и неизвестному. Особенно полезно и удобно производить обучение в наши дни. Ведь для этого используется и применяется множество...
Как чистить зубы после удаления зуба мудрости: правила ухода
В настоящее время каждый человек сталкивается с теми или иными сложностями с состоянием здоровья, которые действительно дают возможность проявить больше внимательности к себе, обеспечить...
С чего начать лечение алкоголизма?
В настоящее время во всем мире существует достаточно большое количество всевозможных проблем и сложностей, которые касаются каждого, и в то же время они действительно...
Почему жир откладывается на ногах?
Как известно всем, что жир может отлаживаться на разных частях тела. Как показывает практика, что чаще всего многих женщин не устраивают их ноги, так...
Эффективные способы похудения
Среди большого количества диет можно по-настоящему запутаться и даже немного сойти с ума.Ведь красивую фигуру хочет иметь каждый, но далеко не каждый понимает, как...
Плюсы занятий в фитнес-клубе
Многие люди желают выглядеть привлекательно и эффектно. Это способствует росту количества желающих посещать фитнес клубы. Казалось бы, зачем это нужно людям? Ведь активно заниматься спортом вполне...
К чему снится плакать во сне навзрыд?
Если утром вы проснулись и ваша подушка мокрая от слез, так как во сне как вы сейчас вспомнили, что вы плакали ночь напролет, то...
Виды интим-услуг
Если хочется расслабиться и ощутить себя в максимальной степени на высшей степени блаженства, успокоения и удовольствия, то всегда можно воспользоваться помощью специалистов в этом...
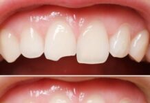
Что представляет собой художественная реставрация зубов?
В современном мире те возможности, которые имеет стоматология, позволяют проводить эффективное лечение разных заболеваний, бережно очищать эмаль зубов от налета, отбеливать зубы, а также...
Как делают химчистку матрасов: секреты
На сегодняшний день работа служб химчистки позволила многим людям распрощаться с выполнением нелюбимого дела, стиркой и очищением поверхностей материалов. Более того, не всегда представляется...
Польза сухофруктов для организма человека
К сожалению, в современных условиях нашей жизни люди мало задумываются о том, какие продукты питания они употребляют ежедневно, ведь многие из них не отличаются...







































