Как подготовиться к имплантации зубов ?
Перед операцией необходимо пройти некоторую подготовку. Зубные имплантаты недоступны, и они могут занять несколько недель. Тщательное обследование и здоровья пациента - залог успешного лечения.
В...
Как продать неиспользованные лекарства ?
После затяжных и очень тяжелых заболеваний у человека может быть очень значительное число по неиспользованным лекарственным средствам. Большинство из них могут очень дорого стоить,...
Вызов нарколога: когда можно пригласить специалиста домой?
В жизни бывают ситуации, когда нам действительно нужна помощь, и бывает, что эта помощь — это нарколог. Но когда же стоит вызывать его на...
Рентген зубов в современной стоматологической клинике
Стоматология — это не только чистка зубов и лечение кариеса. В нашем арсенале есть множество современных технологий, которые помогают врачам эффективно диагностировать и лечить...
Access Consciousness: система энергетических практик, пришедшая в Россию несколько лет назад из США
«Access Consciousness» - это методы, которые некоторые люди сравнивают с перезагрузкой компьютерной программы. «Access Consciousness» - это, образно говоря, «перезагрузка» головы! Данные сеансы удаляют...
Флюс: как избавиться от неприятной боли и вернуть здоровье зубам
Флюс, или периостит, - это воспаление надкостницы, которое возникает вследствие запущенного кариеса, пульпита или периодонтита. Это неприятное заболевание, которое сопровождается сильной болью, отеком десны,...
Спирулина Атоми: полезные свойства
Спирулину многие люди хорошо знают как часто используемую биологическую добавку. Многие племена в Индии рассматривали её как полезный пищевой источник. Также её часто употребляли...
Анальный секс в первый раз: очень ответственный момент, как для женщины, так и для...
Анальный секс еще давно полагался «грязным» и ставился под все запреты многими глобальными религиями. Во многих государствах за акт содомии предусмотрена не лишь административная...
Как стать нутрициологом?
Часто ли Вы задаетесь вопросом: " Как стать нутрициологом?" Если же Вы читаете данную статью, значит, эта тема для Вас более чем актуальна. Ну...
Элеон Мед: современный многопрофильный медицинский комплекс
В медицинском центре Элион царит полная атмосфера по дружелюбию и живому человеческому участию. Вежливость, доброжелательность, стремление понять и помочь – это главная основа по...
Удаление зубов в современной стоматологии
В некоторых ситуациях удаление зуба является просто необходимой процедурой. При этом в случае наличия обострившейся ситуации, когда действительно невозможно спасти зуб, специалисты стараются подобрать...
Лазерная эпиляция на аппарате Candela GentleLase Pro-U
Девушки все чаще отдают предпочтение лазерной эпиляции, которая позволяет быстро и без боли убрать лишний волосяной покров с поверхности тела. Бритье и удаление воском...
Как выбрать пансионат для престарелых с деменцией?
Пожилой человек с течением времени так или иначе теряет здоровье, образуются и усложняются хронические заболевания, наступают такие состояния как деменция. Это состояние проявляется как...
Как определить лежачего больного в дом престарелых?
В нашей страны принято, что за пожилым родственником всегда ухаживают его близкие родственники. Часто это приходится осуществлять внукам, но вот нужный уход они не...
Когда необходима капельница на дому?
Медицинские услуги, оказываемые на дому, актуальны в нескольких случаях. Например, человек серьезно болен, лечится длительное время, и ему нужно периодическое поддерживающее лечение, поэтому некоторые...
Как подготовиться к ВПЧ ПАП тесту?
Анализы, которые направлены на выявление онкологических изменений в шейке матки, проводятся в соответствии с четко определенной структурой. Чтобы тест был выполнен грамотно и правильно,...
Особенности эстетической реставрации зубов
Эстетической называют реставрацию зубов во время которой, восстанавливают их полную структуру, при помощи разных синтетических материалов. При помощи такой услуги, специалисты могут вам полностью...
Лосины для фитнеса: модели и правила выбора
В настоящее время очень сложно найти человека, который бы не слышал о фитнесе. Это не просто физические упражнения, а целая наука, которая занимается созданием...
12 правил как быстро похудеть к лету без вреда для здоровья?
В современном мире огромное количество людей мечтают о красивой фигуре, особенно в преддверии лета, чтобы не стесняться своего тела в купальнике на пляже. Однако,...
Чем полезен тысячелистник для женского организма
Многим знакомо лекарственное растение тысячелистник. Оно растет почти повсеместно. Чем же оно замечательно? Прежде всего своими кровоостанавливающими и противовоспалительными свойствами. Любые порезы, кровотечения, раны,...
Прессотерапия: аппаратный массаж с использованием сжатого воздуха
Прессотерапия представляет собой аппаратный массаж, который осуществляется при помощи сжатого воздуха. Такие процедуры помогают быстро похудеть и избавиться от целлюлита. Но самое главное при...
Причины и симптомы опущения матки
Ослабление тазовых мышц и нарушение эластичности связок матки способно привести к такому негативному явлению, как опущение матки. Положения органа из-за комплекса причин нарушается, что...
Установка циркониевых коронок
В стоматологии циркониевые коронки в стоматологии применяли с давнего времени. Уже больше 20 лет. И в настоящее время они остались актуальными во время протезирования...
Когда нужно обращаться к психологу?
Психическое заболевание затрагивает каждого пятого человека в течение жизни. Многие не получат необходимой помощи. Согласно одному опросу, 40% людей, испытывающих чувство тревоги или депрессии,...
Пансионаты для больных после инфаркта
Пациенты после перенесенного инфаркта требуют особого ухода и программы реабилитации. Проживание в специализированном учреждении позволить более быстро восстановиться и вернуть прежнее качество жизни. пансионат...
Что представляет собой интервальное голодавние
Проблема избыточного веса становится с каждым годом актуальнее, в этом нет ничего удивительного. Люди стали мало двигаться, питаются неправильно, кушая полуфабрикаты и фастфуды, постоянно...
Как заказывать лекарства онлайн?
Многие люди предпочитают покупать лекарства в магазинах, так как бояться ошибиться при выборе или попросту наткнутся на некачественный товар или подделку. Однако в интернете...
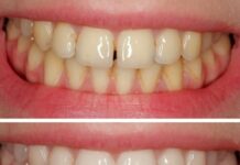
Отбеливание зубов: профессиональная стоматологическая процедура для осветления эмали зубов
Благодаря стоматологическим процедурам, каждый сможет стать обладателем красивой улыбки и здоровых зубов. В современных реалиях, стоматология успела быстро набрать обороты и она на этом...
Особенности перевозки лежачего больного
В настоящее время многие люди подвергаются негативным воздействиям со стороны внешней среды, окружающего пространства, и что самое главное, все это отражается на самочувствии и...
Психотерапия онлайн: в каких случаях эффективна?
Психотерапия одна из самых длительных и глубоких изменений в мышлении, поведении человека. В современном мире стало модным обращаться к специалистам во время проблем душевного...



































