На пост главы Еманжелинского района заявились пять кандидатов
Среди них действующий мэр, два чиновника, бизнесмен и железнодорожник ...
В Челябинске построят станцию обеззараживания воды ультрафиолетом за 1 млрд рублей
Новая технология повысит эффективность работы очистных сооружений в Центральном районе ...
«Меняем питание, но не теряем вкус к жизни»: челябинский нутрициолог — о здоровой еде
Светлана Савичева помогает разобраться, какие продукты пойдут нам на пользу, а от каких лучше отказаться ...
Алексей Текслер передал в медучреждения Челябинской области 10 машин неотложной помощи
Автомобили приобретены на средства, собранные «Единой Россией» ...
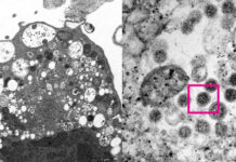
Вспышка коронавируса случилась на изолированных островах Тихого океана, где его не было до сих...
ОбществоВспышка коронавируса случилась на изолированных островах Тихого океана, где его не было до сих пор Добромир07.02.20220 Тонга — только одна из нескольких тихоокеанских...
Байден и Макрон обсудили ситуацию вокруг Украины
СтатьиБайден и Макрон обсудили ситуацию вокруг Украины Добромир07.02.20220 Лидеры обсудили подготовку «быстрых и суровых экономических издержек» для России, если ситуация на границе с...
Байден оценил встречу Путина и Си Цзиньпина в Пекине
В МиреБайден оценил встречу Путина и Си Цзиньпина в Пекине Добромир07.02.20220 Президент России и глава КНР встретились в пятницу, 4 февраля. Переговоры прошли...
Глава СК Александр Бастрыкин взял на контроль расследование об убийстве девочки в Троицке
Трагедия произошла 4 февраля ...
В Челябинске цены на такси возросли в два раза
Рассказываем, во сколько горожанам обойдется поездка ...
Симптомы истощенной психики
Когда пора устроить себе отдых ...
Южноуральцам обещают похолодание и небольшой снег
Погода будет безветренной ...
В челябинском поселке бродячая собака искусала лицо 7-летнему мальчику
Полиция проводит проверку ...
Сборная России в тройке сильнейших на Олимпиаде-2022 после двух дней соревнований
И на первом месте по количеству завоеванных наград ...
Археолог Иван Семьян: «Где Южный Урал и где древняя колесница? Ха-ха-ха»
Мы поговорили с одним из создателей боевой колесницы бронзового века о том, как и зачем они ее строили, о съемках в кино и о...
Южноуральцы перевели мошенникам более шести миллионов рублей
Возбуждены уголовные дела ...
Лыжница Наталья Непряева принесла России первую медаль на Олимпиаде-2022 в Пекине
СпортЛыжница Наталья Непряева принесла России первую медаль на Олимпиаде-2022 в Пекине Добромир05.02.20220 Первое место заняла спортсменка из Норвегии, а бронза — у лыжницы...
Перегруженные больницы США ищут иностранных медсестер: работать некому
В МиреПерегруженные больницы США ищут иностранных медсестер: работать некому Добромир05.02.20220 В этом году для иностранных специалистов, включая медсестер, которые хотят переехать в Соединенные...
Учёные раскрыли полный механизм потери обоняния при коронавирусе: как это происходит?
Медицина и здоровьеУчёные раскрыли полный механизм потери обоняния при коронавирусе: как это происходит? Добромир05.02.20220 Эксперименты показали, что присутствие вируса рядом с нервными клетками...
Пекинская Олимпиада 2022: результаты соревнований сегодня, медальный зачет, последние новости дня
СпортПекинская Олимпиада 2022: результаты соревнований сегодня, медальный зачет, последние новости дня Добромир06.02.20220 В течение субботы, 5 февраля на Олимпийских играх разыгрывались шесть комплектов...
Список стран, бойкотирующих Олимпиаду в Пекине в 2022 году, растет с каждым днем, кто...
США не смогли организовать масштабный дипломатический бойкот Игр в ПекинеНа открытии зимней Олимпиады–2022 в Пекине 4 февраля не будут присутствовать...
По какой причине среди долгожителей нет профессиональных спортсменов?
ОбществоПо какой причине среди долгожителей нет профессиональных спортсменов? Добромир06.02.20220 История спорта может сообщить нам множество ситуаций, когда именитые люди, всю жизнь посвятившие физическому...






























